
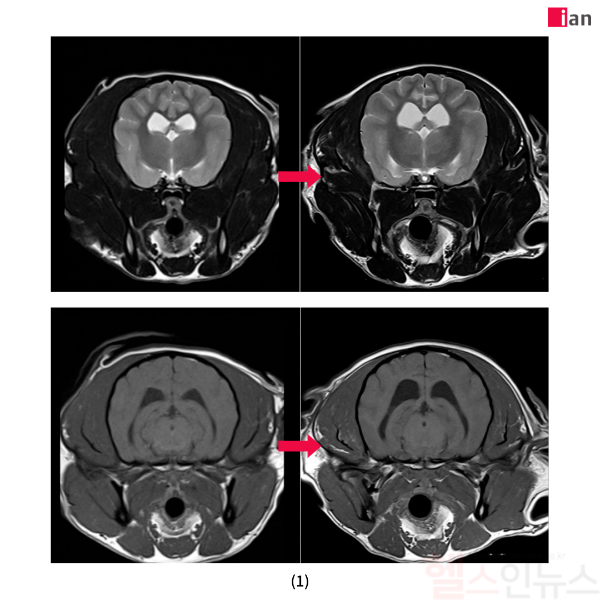
특히 AI 소프트웨어 도입 이후 촬영 시간이 기존 대비 최대 절반으로 줄어드는 등 검사 효율성이 크게 향상됐다. 이는 보호자들의 시간적 부담을 덜어줄 뿐 아니라 환자의 마취 시간 단축으로 검사 안전성을 더욱 높이는 효과를 가져왔다. 또한 이미지 퀄리티 향상으로 정밀한 판독이 가능해져 질병의 조기 발견과 정확한 진단을 통한 치료 전략 수립에 커다란 진전을 이뤄냈다. 여기에 이안동물의학센터 전담 마취팀의 철저한 관리까지 더해져 반려동물 검사 전 과정에서 신뢰도 높은 의료 서비스를 제공하고 있다는 병원측의 설명이다.
이안동물의학센터 관계자는 "이번 1000건 돌파는 우리 센터가 지속적으로 추구해온 기술 혁신과 전문성 강화의 결실이라며, 앞으로도 최첨단 의료 기술을 적극 활용해 반려동물에게 최상의 진단과 치료 환경을 제공하겠다"고 밝혔다.
임혜정 기자
press@healthinnews.co.kr