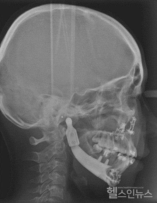
3D프린팅으로제조된환자맞춤형인공하악골X레이사진
3D프린팅으로제조된환자맞춤형인공하악골X레이사진
메디쎄이(대표 한종현)는 3D프린팅으로 제작되는 환자맞춤형 인공 하악골 제조 기술이 미국 특허청(USPTO)에 등록됐다고 25일 밝혔다. (미국 출원번호 16/561,649)

회사에 따르면 해당 기술은 하악골의 결손 부위에 삽입되는 환자 맞춤형 하악골 임플란트이다. 개인 맞춤형 3D 프린팅 기술을 이용하여 손쉽고 빠르게 제작할 수 있으며, 아래턱뿐만 아니라 턱뼈와 함께 손실된 치아를 복원하는 기술도 동시에 적용 가능하다.

이번에 미국 특허로 등록된 ‘하악골 결손 부위에 삽입되는 환자 맞춤형 하악골 임플란트(영문명: Patient-tailored mandibular implants and methods for manufacturing the same)’는 사고로 인한 외상 혹은 구강암 등의 질환으로 인해 아래턱뼈가 결손된 환자에게 본인의 구강구조와 일치하는 맞춤형 인공 턱뼈를 제공할 수 있으며, 추후 치과용 임플란트를 식립할 수 있으며 치아의 기능까지 회복할 수 있어, 심미적, 기능적 복원이 가능하다는 장점이 있다고 회사측은 설명했다.

메디쎄이 한종현 대표이사는 “메디쎄이는 그동안 3D프린팅 기술을 활용해 인체의 복잡하고 다양한 뼈들을 재건하는 인공 뼈 개발에 노력을 기울였다. 이번 미국 특허 취득 기술도 다년간의 연구개발의 결과물 중 하나이다. 해당 기술은 턱뼈가 결손된 환자에게 높은 만족도를 제공할 것으로 기대된다”라며, “처음 금속 3D프린팅 기술을 의료산업에 접목한 후 그동안 산업통상자원부, 보건복지부 등에서 지원하는 ‘3D프린팅 의료기기 실증사업’이나 ‘3D프린팅 의료기기 개발사업’ 등 크고 작은 국가사업에 참여하며 3D프린팅 의료기기의 개발과 안정적인 공급을 위해 노력해왔고, 최근 들어 결과들을 하나씩 인정받는 것 같아 기쁘다”라고 전했다.

저작권자 © Hinews 무단전재 및 재배포 금지
ad